Natural Dentistry » Root Canal Alternatives
Holistic Alternative to Root Canals
Discover the secrets behind root canals: systemic health issues, potential risks, and root canal dangers never discussed in conventional dental literature. Learn about root canal alternatives and treatment for compromised root-canal-treated teeth.
It’s important that every patient know THERE ARE ALTERNATIVES TO ROOT CANALS! But keep in mind each option exclusively depends on the clinical situation and the specifics of the patient and individual tooth. Only some of the alternatives to root canals listed below may be appropriate for a given situation.
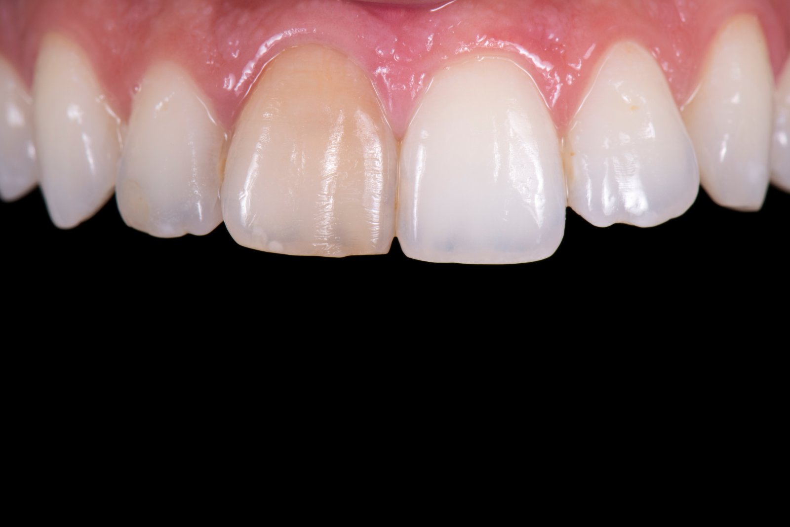
The tooth is alive
and has a chance to heal
Direct Pulp Capping
This procedure involves placing a protective cap over the exposed pulp of a tooth. This can help prevent the spread of infection and may allow the tooth to heal independently. The damage to the tooth is typically surface and internal decay, and the tooth must still be vital to be eligible.
Indirect Pulp Capping
This procedure is similar to direct pulp capping, but it is used when the pulp of the tooth is not yet exposed. The cap helps to protect the pulp from further damage and may allow the tooth to heal on its own. The damage to the tooth is typically surface and internal decay and the tooth must still be vital to be eligible.
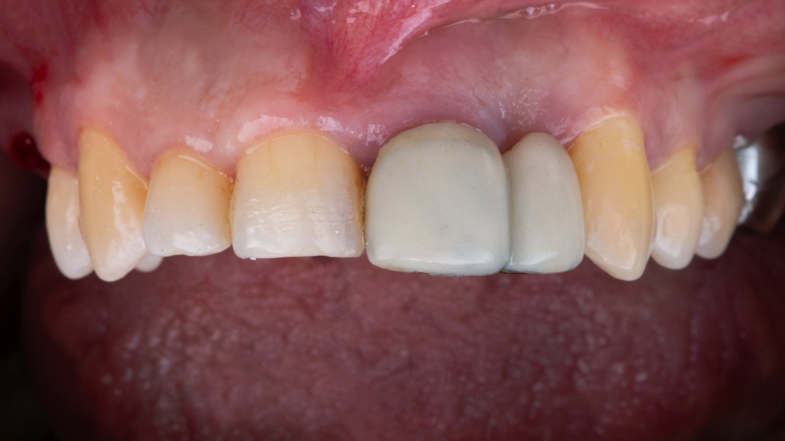
The tooth is dead
or has an active infection
Pulpotomy
This procedure involves removing the infected pulp of a tooth and filling the tooth with a protective material. Pulpotomies are often performed on children’s teeth, as the roots of these teeth are not yet fully developed. While similar to a root canal, it differs as it may leave the tooth’s undeveloped nerve in place while removing the pulp.
Calcium Hydroxide
Calcium hydroxide is a substance that can help to kill bacteria and dissolve dead tissue in the root of a tooth. However, calcium hydroxide is toxic, so it must be used with caution. This chemical is dangerous and toxic and kills the tooth nerve and the infection. This is often used in combination with direct pulp capping. Biological dentists use alternatives to calcium hydroxide for pulp capping.
Tooth Extraction
In some cases, the best option may be to extract the infected tooth. After extraction of the tooth, a dental implant, bridge or removable partial (“Flipper”) can be provided.
Ceramic Dental Implant
After extraction with PRF and ozone, many choose to replace the infected tooth with a biocompatible, beautiful ceramic implant that is metal-free.
NOT effective alternatives
Natural Remedies
Some people believe that natural remedies, such as salt water rinses or tea tree oil, can help to treat tooth infections. However, long term, these do not prevent or reverse pulpal infections or tooth nerve death. Ultimately the tooth will require treatment, whether an alternative to a root canal or an actual root canal. Even holistic dentists would generally not recommend this as a treatment option.
Ozone Gas
Ozone gas can be used to kill bacteria in the root of a tooth. However, ozone gas does not seal up any decay or damage, so it may not be a long-term solution. Ozone gas has a short half-life and is usually required weekly to relieve symptoms in the short term.
NOT considered alternatives
Endodontic Retreatment
This procedure is, in fact, a root canal procedure. It is a SECOND root canal treatment that is performed on an existing root canal because a root canal has failed and developed another infection. Most holistic dentists would not recommend this.
Apicoectomy
This procedure is typically performed on root-canaled teeth after the root canal has failed, and an infection has formed. Apicoectomy procedures involve removing the tip of the root of a tooth that is infected. This can help to remove the infection and prevent it from spreading. This is very similar to a root canal, and the tooth is already dead. Most holistic dentists would not recommend this.
If you think we can help you with your root canal issue
Speak with our New Patient Team if you need treatment, a consultation about alternatives, or information regarding root canal removal. Next steps:
Fill out New Patient Inquiry Form
10 minutes to explain your situation
Read Detailed Intro Email
New Patient Appointment Detailes, Costs For Local & Travel Patients
Recieve a call from Patient Concierge
Optional – Lorem ipsum dolor
Complete Registation Forms
Optional – Lorem ipsum dolor
See also the testimonials from our patients to learn about their experiences:
I needed my 2 front root canals extracted and wanted only zirconia dental metals that were 100% metal-free, and they needed to look beautiful. The flight was a bit long but the trip, the surgery and the meticulous work of Dr. May were worth everything. My temporaries looked beautiful, and I couldn’t be happier.
I needed my 2 front root canals extracted and wanted only zirconia dental metals that were 100% metal-free, and they needed to look beautiful. The flight was a bit long but the trip, the surgery and the meticulous work of Dr. May were worth everything. My temporaries looked beautiful, and I couldn’t be happier.
I needed my 2 front root canals extracted and wanted only zirconia dental metals that were 100% metal-free, and they needed to look beautiful. The flight was a bit long but the trip, the surgery and the meticulous work of Dr. May were worth everything. My temporaries looked beautiful, and I couldn’t be happier.
Before & After - our work and health transformations



Further down on this page, you can learn more about root canal issues and explore the alternatives
Removing tainted root canals may potentially help reverse disease and prevent future health issues. A root canal is viewed differently between conventional dentists and biological dentists. Whether patients choose to avoid a root canal, remove a root canal (an extraction with PRF and ozone) and replace it with a zirconia dental implant or to follow a more conventional method, such as re-root-canal (a repeat root canal) the goal is to educate patients and readers and help them make the healthiest decision for their health and wellbeing.
Disclaimer: The official position of the American Academy of Endodontists or AAE, which is supported by the American Dental Association or ADA, is that root canals are safe and include the following statement: “Decades of research contradict the beliefs of “focal infection” proponents; there is no valid, scientific evidence linking endodontically treated teeth and systemic disease. Yet some patients still hear about this long-dispelled theory.” As such, we encourage each patient to do their own research as to whether a root canal procedure is right for them and not solely depend on the information provided on this site.
Introduction to Natural Dentistry & Root Canal Infection Diagnosis & Root Canal Alternatives
What do we do at Natural Dentistry? Dr. May’s goal at Natural Dentistry is to educate patients on their options when a tooth has an infection and when a tooth with an infected root canal is causing symptoms such as pain, sinus infections.
A biological dentist’s detailed root canal problem diagnosis and root canal alternatives knowledge empower the patient to make the best decision for their health. Additionally, many patients come to Natural Dentistry with unexplained symptoms that are beyond facial, oral or cranial and sometimes are related to root canal systemic side effects that, sadly, often go unexplained by doctors and conventional dentists alike.
In some cases, root canal sites next to extracted wisdom tooth teeth may be areas of cavitations, otherwise known as NICO or Fatty Degenerativeg Osteomyelitis of the Jawbone, which Natural Dentistry can diagnose and treat.
Holistic Alternative to a Root Canal
The simple truth is that the only alternative to a conventional root canal is an extraction of the tooth. From the holistic dental perspective, if faced with an infected, dead, or dying tooth and a compromised pulp chamber the only long-term and safest alternative is a biological extraction of the tooth.
A biological tooth extraction includes:
- Atraumatic Extraction of the Tooth
- Removal of the Periodontal Ligament (“PL”)
- Debridement of infected tissue with surgical instruments
- Debridement with laser for further disinfection
- Ozone gas and ozone water in the surgical site for disinfection and stimulating of healing
- Platelet Rich Fibrin (“PRF”) Grafting to stimulate fast healing, quality bone growth, prevent bone defects and atrophy
Holistic Dentist Trained in Removing Root Canals: Root Canal Huggins Protocol & Weston A Price
Many of our patients seeking alternatives to root canals or determining if their root canals are infected have researched Dr. Hal Huggins’ pioneering research on root canal alternatives and the dangers of root canal treatments. This research goes hand in hand with findings from Weston A Price.
The foundations of biological alternatives to root canal therapy have their early beginnings from both of the early 20th century pioneers, in addition to critical research discovered by Dr. Thomas Levy, a cardiologist about root canals and their toxicity long term. With the advent of 3D CBCT Conebeam Technology Scans, ozone therapy, kinesiology testing, and other diagnostic tools, science has offered more insight and made root canal risk more apparent.
Not only has Dr. May studied the texts, philosophy, methodology and treatment introduced by Dr. Huggins, but Dr. May is a modern biological dentist that has taken that knowledge and IMPROVED it by innovating new protocols with diagnosis, treatment, and metal-free implant restorations.
Dr. May’s work on PRF and ceramic implants (combined with ozone and oral surgery) has been published in a textbook which you can reference here. In today’s world of progressive biocompatible materials, Dr. May is one of the few dentists in the USA that can offer minimally invasive extractions with Platelet Rich Fibrin to quickly help heal and rebuild bone naturally without synthetic particulates and offer patients the life-long potential restoration of ceramic dental implants.
How is a Root Canal Infection Diagnosed?
Yes, a 3D Dental Scan is also known as 3D Conebeam or Dental CBCT Scan is one of the only tools to see a root canal infection that is just starting or has been small and unable to be identified by a typical dental x-ray. X-rays ONLY show the coronal surface of the tooth (not the roots) and can’t identify issues with root canals.
Periapical X-rays (“PAs”) are the same as an X-ray but show the roots of the tooth, sometimes miss the apex of the tooth (tip of the tooth root where root canal infections typically begin) and secondly, can ONLY show a root canal infection after its been brewing for a LONG time and is massive in size (so much so that there is a large abscess or visual fistula and so much bone loss has occurred that the tooth is doomed AGAIN, after its initial death and pulp gutting).
What about the root canals that are infected but aren’t the size required to be diagnosed by a conventional dentist without a CBCT scan or without the knowledge to interpret a 3D cone beam scan? What about the tooth that keeps hurting, but your local dentist may be telling you, “it looks fine on the x-ray,” and you don’t know what to do?
The answer is that you need a 3D Conebeam Scan and a knowledgeable holistic practitioner who can identify abnormal and infected root canals.
How Does a Biological Holistic Dentist Diagnose an Abnormal or Infected Root Canal?
Root canals are diagnosed most accurately using a 3D CBCT Scan also known as a 3D Conebeam Image. While a holistic dentist may have a scan, not every dentist is radiologically trained to properly interpret or read a 3D scan (even though they may take one.) A diagnosis by an experienced biological dentist like Dr. May, who also performs the surgery to extract the abnormal infected root canal treated teeth and understands the abnormal anatomy radiologically and how that translates to actual tissue and bone findings via surgery, is critical.
Typical dental xrays, usually bitewings, will NOT diagnose a root canal infection as they do not show anything except the coronal (crown) portion of the tooth. Another form of a dental x-ray is the Periapical Xray (“PA x-ray”) which is just like a bitewing X-ray except it also shows the root of the tooth, thus showing more pertinent information but only in 2D (flat image file) and unless the root canal infection has been festering for an extended period of time, is massively large and has significant bone loss around it, the root canal infection will still likely be undiagnosed by the dentist.
Less than 10% of dentists have 3D CBCT scan machines, and of those, less than 10% of them scan patients for any other reasons other than surgery or procedure planning based on an existing diagnosis (nothing to do with the suspect root canal causing potential issues.) The math shows that less than 5% of dentists scan their patients with 3D Conebeams, and usually, its by oral surgeons preparing for extractions based on an existing diagnosis or an endodontist to perform a root canal based on an initial diagnosis.
Understanding that the 3D Conebeam is generally not used in conventional dentistry to assess unknown root canal infections, patients should be able to understand why 90+% of root canal infections go undiagnosed by conventional dentists and non-3D CBCT radiology-reading dentists. By the time a typical dentist with a typical PA x-ray where only the largest of the large (as in the most grossly obvious infections) can be seen by a dentist.
3D CBCT Scan Example of Infected Root Canals, Cavitations, Failing Titanium Implants
Below is the scan of a typical Natural Dentistry patient (this is a 3D Scan that is exported into 2D format ONLY for illustrative purposes – it is housed on the server and accessed by Dr. Yuriy May in 3D format for all clinical purposes) The importance of getting a 3D Conebeam scan cannot be overstated, as it is the only diagnostic tool to identify root canal infections, titanium implant failures, dental cavitations, sinus abnormalities, abnormal bone grafts and other pathological processes which CANNOT be identified on xrays, PAs or 2D panos.
Holistic Dentist vs Conventional Dentist Root Canals
Conventional Dentist Root Canals Philosophy
Many conventional dentists simply don’t know any better – they learn that root canals are the standard of care in dentistry (which they are!), safe and effective and that the leading clinical option in dentistry is to save a tooth that has started to die or has already died. Think of the conventional dentistry perspective and endodontist perspective as “embalming the tooth” just like funeral homes “embalm a dead body” to make it last longer. Conventional dentists think “the only purpose of the tooth is to chew and exist in the mouth” so if they save it and keep it in the mouth for another 5, 10, 15 years – they have just become heroes and saved the tooth. The failure in the thinking that “root canals save teeth” is that teeth are MORE than just chewing surfaces – they are live organs with immune support and blood flow and autonomous nerve system participation. Once dead, they are dead organs even though conventional dentists consider dead root canal-treated teeth “functional” as they still can perform “chewing” functions without pain. Further, teeth are NOT solid; they are permeable organs that are interconnected to the human cellular matrix and therefore to our entire body system. Conventional dentists tend to believe that root canals do not cause side effects and, on occasion, can develop secondary root infections. Conventional dentists will usually recommend retreating the root canal infection by RE-root canaling or performing root canal treatment a SECOND time. If the root canal-treated tooth is crumbling, conventional dentists to back to the “hero save a tooth” mentality and put metal posts to glue and support pieces of the dead and crumbling tooth together, known as a “post and core” mixing together the elements of a dead organ, gutta-percha, metal rods, composite or amalgam metal buildups, and a crown or filling.
Holistic Dentist Root Canal Philosophy
Contrary to the conventional dentistry “be a hero, save a dead tooth” approach, holistic dentists tend to believe that teeth are vital organs with blood flow and lymphatic impacts and the bacteria and infections harbored in a tooth can spread all over the body through the surrounding tissues absorbing the bacterial overloads. The goal is never to “save a tooth” for the sake of chewing surfaces but instead to cautiously evaluate the impact the damaged and infected tooth can cause the overall body system. Biological dentists evaluate the risk of keeping an infected and dying organ in the body and the overall immune system burden to the body it can cause. For those patients with autoimmune conditions (Lyme, CIRS, rheumatoid arthritis, lupus, MARCONS, MCS, chronic fatigue, SIBO, mold, neuralgia, parasites) or history of immune system dysregulation (like cancer, oncology, hashimotos, etc) the burden of a root canal generally outweighs the risk of keeping “chewing surface” and there is always a solution through restorative dentistry to create a new “chewing surface” or tooth once the dying infected tooth or the dead tooth is removed. Therefore, long term, the burden of a root canal to a patient’s immune system and overall bodily disease processes is considered greater than the benefit of a root canal. This leads most holistic and biological dentists to avoid recommending root canals and instead seek alternatives such as removal of a dead, non-viable or infected tooth. This yields a benefit to the body and immune system overall, whereas to a conventional dentist keeping or “saving” the dead tooth is a narrow perspective without taking into account systemic health effects and side effects down the line. Many options exist after a root canal tooth, dying tooth or infected tooth is extracted, which you can explore in this section HERE on this page
Understanding How Root Canals Can Cause Infections & Health Issues: Getting to the Root (Canal) of the Issue
Patients who have seen endodontists – those dentists who specialize in root canals – understand that if the one and only tool you have is a hammer, everything is a nail – and thus with endodontists, everything is solved with a root canal. Endodontists and traditional general dentists will discuss the wonders of root canals, whilst naturopathic doctors, functional MDs, DOs, biological dentists, holistic dentists will tell you this bit of wisdom: encourage patients to RESEARCH root canal procedures, associate risk and importantly, the available alternatives. Intuition is one of our strongest, truest and most primal internal warnings – and is understandable that over 70% of patients treatment planned for a root canal prefer to avoid them. Patients are right to be wary…but maybe not for the reasons they think.
The symptoms associated with root canals span across a number of publications including research papers, testimonials, peer-reviewed clinical papers and books published by some of the industry’s most prolific physicians. While not every individual experiences negative side effects, others have been said to experience a combination of chronic and debilitating conditions associated with root canals.
Disclaimer: The official position of the American Academy of Endodontists or AAE which is supported by the American Dental Association or ADA, is that root canals are safe and include the following statement: “Decades of research contradict the beliefs of “focal infection” proponents; there is no valid, scientific evidence linking endodontically treated teeth and systemic disease. Yet some patients still hear about this long-dispelled theory.” As such, we encourage each patient to do their own research as to whether a root canal procedure is right for them, and not solely depend on the information provided on this site.
Root Canals Dangers May Include Autoimmune disorders, leaky gut, neuropathy, weight gain, arthritis, cancer, psoriasis, chronic fatigue syndrome, ischemic bone disease, diabetes, heart disease, depression, anxiety, psoriasis, sinusitis, eczema, insomnia, migraines, sinusitis…
Understanding the Process of a Root Canal & Dangers of Root Canals
Let’s first start with laying the groundwork of understanding the physiology and anatomy of a tooth and then dive into the unexpected process of a root canal. Below is a typical story of a root-canaled tooth and the most common patient stories that come to Natural Dentistry daily from all over the country and globe. The allegory below is for your education and to help you better understand the chronology of events patients experience when they don’t research root canals prior to having them done.
What is a Root Canal: A Deep Dive on the Process that Kills Teeth
Root canal therapy is typically recommended when a conventional dentist notices advanced decay extending into the dentin of a tooth. They say this will “save” the tooth, but in reality, it saves only the outer structure. In other words, the ‘banana peel’ of the tooth is preserved, while the ‘banana fruit’ inside is sucked out and replaced with cement. This is analogous to the tooth structure being the external hard surface and in the pulp inside the root canals of the tooth structure, which is a living organ of real tissue that made the tooth alive and supplied it with nutrients – is removed. The tooth is now dead. The patient has experienced a “root canal” procedure redefined as the preservation of a dead tooth through the extraction of the pulp or the life supply of the tooth. The hollowed-out pulp chamber is then filled with a putty-like substance and sealed with a restoration.
Root Canal Process and Root Canal Side Effects
Is a Tooth Alive or is it a Dead? Does a Tooth Need a Nerve? Does the Tooth Need Blood Supply?
- A tooth is a living, breathing, permeable appendage in the human body – just like a piece of bone in your leg, or finger on your hand. We refer to healthy, alive teeth as vital. (See the image above: The Tooth is ALIVE & Part of the System)
- A tooth has a nerve (or pulp) inside that connects the inner structure of the tooth to the body’s waste system (lymphatic system) and nutrient system (cardiovascular system). The nerve provides the tooth with blood supply, nutrients, and immune system defensive cells like T-Cells and cytokines. The nerve also is connected to the nervous system and has a feedback mechanism to alarm the human body when there is bacteria or damage to the tooth; the alarm system is called PAIN.
- A tooth is made up of several components (See Image right: (a) Tooth, sectional view) with both the dentin and enamel being permeable, comprised of millions of microtubules that allow serum, microorganisms, nutrients, and cellular debris to pass through them. Remember: a tooth is not like glass (non-permeable), quite the opposite, it’s like a paper towel, or better said, it is like all the other structures in our body, completely permeable. This means that microbes, pathogens, nutrients, serum, and molecules all easily pass throughout dental tubules and tooth structure – whether the canals are filled with gunk from an endodontist or have their original nerve and pulp inside. Teeth are permeable, whether root canaled or not.
- Event: A tooth is root canal treated, usually due to infection in the pulp chamber or never of the tooth, or because the pain is differential and unattributable to any specific abnormality. The patient is relieved of pain but not necessarily of infection. The patient goes home happy, and lives life until the potential failure of the root canal that may lead to a secondary infection…why? Let’s read section 5. below.
- A tooth that no longer has a blood supply, loses its viability, becomes a non-viable, necrotic (dead) appendage in the body, can be clinically called dead. The lack of blood supply (post root canal procedure) prevents the immune system cells from fighting infections and bacteria inside the tooth. This leaves the dead tooth vulnerable to pathogens attacking its cellular matrix and festering inside the tooth without any defense.
- A tooth that no longer has its nerve or pulp in the canals of its teeth, loses viability, becomes a “non-viable” tooth that is considered by biological dentists to be a necrotic (dead) appendage in the body. Removal of the nerve prevents the very precious (yet unpleasant) critical feedback system (the body’s alarm system or pain sensors) from being able to send pain signals to the patient. While the patient and doctor may seem thrilled that the pain is no more, this is actually extremely DANGEROUS. Why? Having no pain receptor in the tooth and losing all pain signaling pathways back to the brain prevents the tooth’s alarm system from going off when a serious and dangerous infection is brewing within the root-canaled, non-viable tooth. Without the “distress” signal of pain, a very serious infection could be eating the alveolus bone (the bone surrounding the bone) and the patient won’t know it until the infection is SO big that it begins to attack the adjacent teeth and tissues.
- Due to the lack of distress signal (pain feedback) in case of infection and decay in the tooth, most infections in root-canaled teeth may go undetected for too long and have time to potentially cause excessive damage to the surrounding oral environment, including bone and tissue degeneration. In some cases, by the time Dr. May is able to diagnose and treat the silently screaming infection, often larger, more invasive surgeries are required to remove the necrotic bone and tissue and significant bone grafting must be done to replace the missing bone. If adjacent teeth have not yet been implicated or lost due to lateral spread of the infection, the costs of the surgery and grafting alone oftentimes make patients wish they had done the root canal research PRIOR to trusting their traditional dentist or endodontist.
- Fast forward to an infected root canal: Now the biological dentist, such as Dr. May, considers extracting the infected root canal tooth (the dead tooth is going to have a funeral, as it should!) and disinfect/clean the surgical site with ozone , and then graft the extraction site with PRF grafting material to regenerate bone in order to support the ideal restoration long term: a biocompatible, metal-free, zirconia dental implant!
- You paid for a root canal (and endured one) $$$ & OUCH
- Your root-canaled tooth (potentially) develops a secondary infection because its dead and the bacteria are still in the tooth $$ & Ouch Again
- Your infection (potentially) spirals out of control because you didn’t feel any pain because your dead tooth had no nerve to give you fair warning. Uh Oh & Ouch
- You now may need your tooth extracted, disinfected during surgery, grafted. You pay for (and endure) extraction and grafting surgery. $ & Ouch Again
- You now may need to pay for an implant, abutment and a crown. $ & Ouch Again
Wouldn’t it have been nice if you avoided Steps 8.1 to 8.3 and just had to incur the cost and the pain of only going through Steps 8.4 to 8.5?
Root Canal Toxicity Dangers: Side Effects of Root Canals
Our bodies are not made of solid, impermeable structures or barriers. In other words, bones and tooth structures are not 100% non-permeable materials through which liquid or microbes cannot pass (like steel, silicone or plastic). Our bones and tissue are all semi-permeable, which means, microbes, pathogens, nutrients, serum, and molecules can pass through our tooth and bone structure at all times.
This leads us to the eye-opening realization that Hal Huggin has spent his life educating dental practitioners and patients alike on, and which holistic and biological dentists have embraced: Everything in our body that is alive is permeable. Nothing in our body can be 100% sterilized, our body’s pathways are far more complex than meets the eye or the microscope, our tools to battle nature are limited, and infections are never local.
Our bones, teeth and all tissues are semi-permeable
There is no way to create and permeable seal using the remaining root tooth structure from the inside or from the outside. It is impossible to seal a tooth with removed pulp, where infection or necrotic tissue once resided.
Impossible to 100% Disinfect the Inside of the Tooth by Removing the Pulp
There is no way to guarantee 100% of the bacteria/infection or dead tissue has been removed, as inflections can travel through the microtubules of the actual tooth structure and a dentists’ tools, including burrs and liquid disinfectant (think bleach/alcohol/antibiotics, cannot reach all microscopic crevices of the tooth structure and reach all tissue. This means it is nearly impossible to remove 100% of the necrotic tissue or infection.
Impossible to Remove 100% of the Dental Pulp, leading the remaining tissue to become necrotic
If anyone ever truly studied the actual canals of a tooth, one will understand they are anything but straight, distinct and easy to stick a wire into and vacuum out (the process of a root canal). By having limited tools, such as sharp thin tapered drill bits or long thin wires that bend, and even microscopes, there is NO WAY that even the most experienced endodontist can remove all of the pulp and never tissues from the canals. What does this mean? That means the remaining traumatized nerve tissue debris that is not removed dies inside the tooth and prevents those crevices from being filled with the “gunk” that endodontists stuff inside the tooth to render it “non-permeable” which is a flawed concept, as we discuss throughout our article. The remaining dead pulp and nerve tissue is necrotic, and gives perfect fuel to the festering pathogens that will feed on the dead remaining debris and propogate given that lack of immune system support.
Infection Leakage into the rest of the Body
If you cannot permanently and permeably secure the dead tooth from within with the filler substance and you cannot remove 100% of the anaerobic bacteria, infection or necrosis during the procedure, this means that a portion of the infection remains inside the tooth, cut off from all blood supply and immune system helpers (T-Cells), and the infection continuously leaks out from the tooth into the rest of the body, while festering and growing inside its chamber. Full-body inflammation ensues.
Root Canal Infection Leakage can Lead to Chronic Disease & Inflammation
Years later, some patients find themselves chronically ill for “unknown reasons.” Hal Huggins has found and published cases of extracting root candled teeth, treating the extraction site of the former root canal with ozone therapy that ultimately resulted in a full return to health for the chronically ill patients.
Root Canal Alternative: Extraction, PRF Grafting, Ozone & Restorative Options: Zirconia Implant, Bridge or Partial
The removal of a tooth as in the extraction of a dying or dead and infected tooth may sound extreme, but in light of the havoc oral pathogens can cause, in our experience and opinion, it really is often the lesser of two evils especially when considering the implications of root canals for long-term health. Once the tooth is extracted, the surgical area will be disinfected with ozone and grafted with PRF and with an optimal clinical solution, will be replaced with a zirconia metal-free (ceramic) dental implant. If a biocompatible implant is not possible or declined, other restorative options include a Maryland bridge, cantilevered or pontic bridge, a removable partial or even a “remove the tooth and do nothing” approach.
Ultimately, the choice is the patient’s to make. The important thing is to understand the risks and benefits of any dental procedure and determine the option that best matches your needs, goals and values.
Extraction by a biological dentist who practices oral surgery and replacement with a ceramic metal-free implant; only this type of holistic dentist can properly extract the root canal, debride the surrounding tissue, applies ozone water and ozone gas to disinfect, bone graft with natural PRF
BEST OPTION CLINICALLY AND SYSTEMICALLY
- Extraction by a top holistic dentist with a zirconia dental implant placed as a metal-free implant biocompatible restoration with a biocompatible crown
- Zirconia implants are also known as ceramic implants – they are the optimal material available in USA and Europe for implant options – longevity is long term (15+ years)
- Dr. May placed zirconia implants during the same surgery as the root canal extraction 90% of the time and 10% of the time due to large infections or bone loss the ceramic implant is placed 3-4 months after the extraction and PRF bone graft is completed and healed
Extraction by a holistic dentist followed by less clinically ideal but non-surgical restorative options
SECOND BEST OPTION FOR FUNCTION
- Maryland Bridge – permanent, metal-free and biocompatible – consequence of bone loss and/or sinus dropping for maxillary teeth – longevity is short to medium term (3-5 years)
- Traditional Bridge – permanent, metal-free, and biocompatible – consequence of bone loss and/or sinus dropping for maxillary teeth – longevity is medium to long term (7-12 years)
- Removable prosthetic – removable, metal-free, and biocompatible – consequence of bone loss and/or sinus dropping for maxillary teeth – longevity is short to medium term (3-5 years)
Extraction by a holistic dentist with no restoration of any sort
LEAST DESIRABLE OPTION DUE TO SIDE EFFECTS
- Chewing parafunction (compromised function)
- Side effects of bone loss
- A consequence of tooth shifting and bite changing and TMJ issues down the road
- Side effects of sinus dropping for maxillary teeth
- Facial changes and facial droop (depending on the location of extracted root canal treated tooth)
Everything You Need to Know About Root Canal Dangers, Root Canal Side Effects In this Video Explained
Reading this page on root canal side effects, root canal toxicity and understanding root canal dangers are one of the things endodontists and conventional dentists probably won’t tell you. Their lack of knowledge is not malicious it in its intent, usually they don’t share this information not because they are hiding anything, but usually because they don’t know or don’t agree with the biological holistic dentists’ approach and research. Dr. Mercola and Dr. Huggins can tell you much more in the videos below.
Watch an up-close video of how
root canal therapy is done
Root Canal Research Studies & Findings
Endodontist and Cancer Expert Explain Root Canal Treated Teeth Toxicity and Connection to Illness As former endodontist George Meinig once said,
We believe now that every root canal filling does leak and bacteria do invade the structure. But the variable factor is the strength of the person’s immune system. Some healthy people are able to control the germs that escape from their teeth into other areas of the body. We think this happens because their immune system lymphocytes (white blood cells) and other disease fighters aren’t constantly compromised by other ailments. In other words, they are able to prevent those new colonies from taking hold in other tissues throughout the body. But over time, most people with root filled teeth do seem to develop some kinds of systemic symptoms they didn’t have before.
Turn to cancer expert Dr. Joseph Issels, and the bad news just keeps on coming: http://biologicaldentalhealth.com/biosis-24/ According to Issels,
A survey conducted at my clinic found that, on admission, ninety-eight percent (98%) of the adult cancer patients had between two and ten dead teeth, each one a dangerous toxin producing ‘factory.’ The clear implication is that no dentist had carefully evaluated those people for dental foci – oral sources of infection that affect other areas of and organs in the body.
Issels continues:
Only total, thorough dental treatment will really succeed in giving the body’s defense a chance. The growth of the tumor itself is very often distinctly slowed down by focus treatment. Now and then tumor development stops altogether, and sometimes even regresses. The head foci therefore seem not only to contribute to the development of secondary lesions, to the origin of cancer disease, but also to exert a direct influence on tumor growth by stimulating it. Many tumors seem to respond to immunological therapy only when foci have been removed. The subsequent improvement in the body’s defenses clearly shows itself in the response to immunizing vaccines.
He later makes a very sobering statement:
My own unhappy experience shows that with cancer patients, foci treatment has generally been left to a very late stage. In the vast majority of the patients I have treated, it was quite clear that foci treatment should have been carried out years before and certainly long before the manifestation of the tumors.
Board Certified Cardiologist Speaks on the Dangers and Toxicity of Root Canals
Tom Levy, MD, JD is a Board Certified Cardiologist who presented the following at an IAOMT lecture 9 in 2017 on the potential dangers and toxicity of root canals.
Over 5,000 extracted root-canal treated teeth were examined and analyzed in a published peer reviewed study (Siqueira, 2009 [19828883]) The results were eye opening. Of the 5,000 root-canal treated teeth, 100% had pathogens and highly potent pathogen-related toxins. No single root-canal treated tooth (0.00%) was found to be free of toxins. Compared to the normal, non root-canal treated teeth that were extracted for orthodontic purposes and analyzed as part of the study, NONE (0%) had any signs of toxins or pathogens.
Conclusion: All root-canal-treated teeth continually produce endogenous toxins as the pathogens proliferate in and around the tooth. Root canals identified as “infected” have been found to have fungi, viruses and over 460 different types of bacteria. While not every root-canal-treated tooth may harbor the full bouquet of bacteria found, any combination of pathogenic bacteria is possible and represents what can be found in all root-canal treated teeth.
Root-Canal Treated Teeth and Association with Leaky Gut, Depression, Lower Quality of Life
In a recent study published in April 2017, explored the associations between chronic apical periodontitis (CAP) and root canal endotoxin levels on oxidative pathways, depression and reduced quality of life. The conclusion highlighted that root canals and “leaky teeth” may be intimately linked to the etiology and course of depression, while significantly reducing the quality of life. Evidence indicated that major depression is accompanied by increased translocation of gut commensal Gram-negative bacteria (leaky gut) and consequent activation of oxidative and nitrosative (O&NS) pathways. There were significant and positive associations between Chronic Apical Periodontitis “CAP” or root canal endotoxin with the vegetative and physio-somatic symptoms of depression as well as a significant inverse (negatively correlated) association between root canal endotoxin and quality of life with strong effects on psychological, environmental, and social domains.
It was concluded that increased root canal endotoxin levels (lipopolysaccharides, LPS) accompanying CAP may cause depression and a lowered quality of life, which may be partly explained by activated oxidative pathways, especially nitric oxide metabolites (NOx) thereby enhancing hypernitrosylation and thus neuro progressive processes. Root canal endotoxin levels (lipopolysaccharides, LPS) were positively associated with CAP, clinical depression and severity of depression (as measured with the Hamilton Depression Rating Scale (HDRS) and the Beck Depression Inventory).
Layman Terms: Root canals may be intimately linked to depression, leaky gut, and lower quality of life.
Root Canal Alternatives
So what to do if a tooth is so infected that root canal therapy may be called for?
Do nothing.
(DANGER – do not do this)
Root canal-treatment.
(It’s an option – make sure to do your research first…reading this page is a good start…)
Extraction of the tooth with the proper disinfection of the tooth socket (ozone preferred) and appropriate grafting (PRF preferred) of the site.
(You’re smart!)
There are some biological dentists who believe it can still be an option so long as the canal is thoroughly disinfected with ozone before sealing, but as we’ve noted, that may not be a good long-term solution. The position that leading biological and holistic dentists agree on, is that root-canaled teeth exhibiting signs of infection should be removed and the area thoroughly cleaned with antibacterial and anti-fungal and antiviral agents, such as ozone, and then grafted with autogenous blood-based or bone-based bone graft material.
What to do if an existing root canal tooth is infected?
Do nothing.
(DANGER – do not do this)
Re-treatment of the existing root canal-treated tooth.
(Root Canal of the Root Canal – does this sounds smart? If it didn’t work the first time, and we do the same procedure the second time….your choice.)
Extraction of the tooth with the proper disinfection of the tooth socket (ozone preferred) and appropriate grafting (PRF preferred) of the site.
(You’re smart!)
Why Traditional Dentists and Endodontists Love Root Canals
It’s easy for the uninitiated to misunderstand the science behind holistic dentistry and its whole-body health approach. Its also not the fault of dentists and endodontists that they only know what they know and nothing else – they spent 4 years in dental schools being taught that root canals SAVE teeth and that bloodless, nerveless, pulpless, non-vital teeth are in fact alive, and not “dead” as biological dentists believe.
One article in the Journal of Endodontics’ January 1982 special issue tried to make a case that a pulpless tooth is not a dead tooth. Their argument is the tooth still has a definite and vital relationship with the surrounding tissue; the author insists; the life of the tooth depends on the attachment apparatus, i.e., the periodontium and adnexa. In the words of Dr. Grossman and Dr. Marshall,
The life of the tooth is dependent upon the integrity of the periodontal membrane and not upon the integrity of the pulp…. If a pulpless tooth were a dead tooth, it should be exfoliated since the body does not tolerate dead tissue. That a pulpless tooth is not dead may be quickly demonstrated by an attempt to remove such a tooth without an anesthetic.
Are Root Canals Bad For You?
What do you do when you’re told you need a root canal? In truth, you have several options, so read this page first! Root canals are not recommended or preferred in biological and holistic dentistry. Holistic and biological medicine believes that all of our organs are essential and vital, including our teeth. Once the tooth nerve is dead, the tooth organ is dead as well, and cannot protect itself from bacterial invasions. Instead of a root canal, holistic dentists prefer the root canal alternative, which is to extract the infected or non-viable tooth using the biological protocol. The alternative to removing a non-viable tooth is one that needs to be considered carefully and assessed based on the patient’s current clinical situation and age. You may still have doubts and think, “But that can’t be the only alternative. Surely there must be other options, right?” This is the question posed by many patients seeking help at Natural Dentistry and trying to understand how to make the right decision for them.
The truth is, other alternatives depend on the situation. But the bottom line is – there is no “holistic version” of a root canal. We’ll try to explain it all in detail here.
- First off, if you really do need a root canal, then that means the damage has gone too far, and you are having serious symptoms (toothache or swelling). At that point, the healthiest option is to extract the tooth and replace it with a zirconia dental implant, which is both biocompatible and metal-free, or consider a metal-free bridge.
Root canals, however, are often recommended for the wrong reasons (such as when a dentist has exhausted or ruled out other sources or causes for tooth pain). A common incident is when the bite is off and the problem tooth is sore and causing pain. Another common example is when the gums have receded and the tooth is painful because of exposed dentin. Of course, taking out the nerve will cut sensation or feeling to the tooth, but it by no means is the source of the problem cured.
The reason root canals are so often recommended is that many dentists don’t spend enough time diagnosing the root cause of the problem. Diagnosis is time-consuming and inefficient. For every minute a dentist spends diagnosing the source of your dental pain, he or she loses money (because that time could have been spent seeing more patients). While many dentists will dedicate the time to properly diagnose problems, far too many take the easy route and make assumptions in order to quickly provide a solution. Root canals will most often remove the cause of the pain (again because you’ve removed the nerve), therefore, root canal therapy is often recommended.
Now, if the dentist has properly diagnosed the cause of your problems and if you really have a true need for a root canal (infection or deep cavity), then the damage is too great to reverse. The healthiest alternative to a root canal is simply to take out the infection by removing the tooth.
Does this sound barbaric when you can “save” the tooth with root canal therapy? Probably at first. But what dentists are unaware of are the links between leaving an infected tooth in the body and other systemic illnesses (such as breast cancer). It’s called the focal infection theory. A better question would be, “Would you jeopardize your health to ‘save’ a tooth?”
If you have an infection or severe decay that has caused a deep cavity and a root canal is recommended, your only two options are extraction or root canal therapy. That’s why knowledge and prevention is of utmost importance: learn how to prevent decay and the spread of tooth decay and you’ll never have to deal with a root canal.
If a root canal is recommended to you, you should definitely get a second or third opinion to confirm the true need for the procedure. Unfortunately, too many dentists do root canals for the wrong reasons and you may have other, less “barbaric” solutions if you were misdiagnosed and don’t need to undergo the procedure.
Start by reading our extensive page about root canal side effects, root canal dangers and the alternatives to root canals.
If you already have a root canal and are wondering if there’s a link with that tooth and the rest of the body, view Natural Dentistry’s Tooth Meridian Chart (we have a downloadable meridian chart here: Tooth Meridian Chart) or Dr. Yuriy May – Connecticut’s Top Holistic Dentist. A lot of times, extracting the problem tooth can help alleviate or eliminate problems (not always, so again, get a second or third opinion before taking action).
The short answer to the alternatives to a root canal question is… If you really, truly need a root canal, you have only two options: root canal therapy (riskier choice) or extraction (safer choice). However, there is always the chance that you have been misdiagnosed and have many, safer, more appealing options available to you.
Fly in for Surgery & Transformative Dentistry
Many of our patients fly in from all over the world. We have perfected the “fly-in patient” protocol, making it possible for anyone to receive the world-class treatment at Natural Dentistry. Fly-in alone or with loved ones. Our team will walk you through every step of the way to make sure you have a transformative experience and you return home healthier.
Root Canal Alternatives FAQs (Frequently Asked Questions)
Here are the most frequently asked questions about the root canal alternatives.
What are the most common root canal alternatives for treating an infected tooth?
Common root canal alternatives include pulp capping, pulpotomy, tooth extraction, endodontic surgery (such as apicoectomy), and deep cleaning methods like GentleWave. These alternatives depend on the severity of the infection and the specific needs of the patient.
Can pulp capping be an effective root canal alternative?
Pulp capping is a viable root canal alternative for minor infections or damage. It involves placing a protective material over the exposed pulp to encourage healing and preserve the tooth. However, it may not be suitable for severely infected teeth.
Is tooth extraction a better root canal alternative for severely damaged teeth?
Tooth extraction is often considered a last-resort root canal alternative for severely damaged teeth. It involves completely removing the tooth to prevent the spread of infection, followed by the option of dental implants, bridges, or dentures to restore functionality and aesthetics.
What is an apicoectomy, and how does it serve as a root canal alternative?
An apicoectomy is a surgical root canal alternative where the tip of the tooth’s root and surrounding infected tissue are removed. This procedure is typically performed when a previous root canal treatment has failed and aims to eliminate infection and preserve the natural tooth.
Can holistic remedies be used as root canal alternatives?
Holistic remedies, such as oil pulling and herbal treatments, are sometimes considered root canal alternatives for managing dental health. However, their effectiveness is limited, and they are generally not suitable for severe dental infections or damage.
How does the GentleWave procedure work as a root canal alternative?
The GentleWave procedure is a state-of-the-art deep cleaning method that uses sound waves and fluid dynamics to clean the root canal system more thoroughly than traditional techniques. This root canal alternative can be effective in treating dental infections with fewer sessions.
Are antibiotics a viable root canal alternative for dental infections?
Antibiotics can be a temporary root canal alternative to manage dental infections and relieve pain. However, they do not address the root cause of the infection and are generally used to buy time before a more permanent solution is implemented.
What are the long-term implications of choosing root canal alternatives over traditional treatment?
The long-term implications of root canal alternatives vary. Procedures like tooth extraction may lead to bone loss and impact adjacent teeth, while treatments like pulp capping might have lower success rates for severe infections. Consulting with a dentist is essential to determine the best approach for maintaining oral health.
Why might someone choose a root canal alternative over traditional root canal therapy?
Patients might choose root canal alternatives due to concerns about the procedure’s invasiveness, cost, or the desire to avoid retaining a dead tooth in their mouth. Alternatives like tooth extraction and dental implants might be considered for personal or medical reasons.
What are the cost differences between root canal alternatives and traditional root canal therapy?
The cost of root canal alternatives varies widely. Tooth extraction followed by dental implants or bridges can be more expensive than traditional root canal therapy. Holistic remedies and temporary solutions like antibiotics may initially be cheaper but may not provide a long-term fix.
TOP BIOLOGICAL DENTIST USA
About Dr. Yuriy May
Highly respected for his skill, artistry, innovation, and experience as a thought-leader in biological surgery and zirconia dental implants, Dr. Yuriy May brings over 12 years of dental expertise to his practice, focusing on transforming health and patients’ lives through biological and holistic dentistry.
His prodigious credentials include certifications in zirconia implantology from IAOCI and ISMI, Board Certification as a Naturopathic Dentist by the ANMCB and recognized Ceramic Implant Ambassador by SDS.
Dr. May has been leading in the field of biological surgery and zirconia implants through teaching and lecturing engagements, including instructing the Ceramic Implant Program at ACIMD for 5 years, lecturing at conferences nationwide, and publishing cases in international industry publications. In addition, he is a Accredited Board Member of the IAOMT and a Certified Biological Dentist by the IAOMT, as well as a S.M.A.R.T. Certified Dentist.
Dr. Yuriy May
DMD, IBDM, AIAOMT, CIABDM
ANMCB Board Certified Naturopathic Dentist